Μια ακόμη σημαντική ιατρική επιτυχία καταγράφει το Γενικό Νοσοκομείο Κοζάνης «Μαμάτσειο», χάρη στη στενή συνεργασία της Ουρολογικής Κλινικής και του Ακτινολογικού Τμήματος.
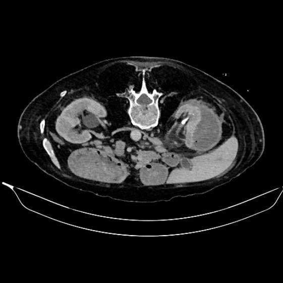
Όπως ανακοίνωσε η διοικήτρια του νοσοκομείου, πραγματοποιήθηκε παροχέτευση περινεφρικού αποστήματος υπό αξονική καθοδήγηση, σε έναν ιδιαίτερα απαιτητικό και σηπτικό ασθενή που βρισκόταν υπό αντιπηκτική αγωγή.
Η άριστη διεπιστημονική συνεργασία των τμημάτων επέτρεψε την άμεση, ασφαλή και αποτελεσματική αντιμετώπιση του περιστατικού, αποτρέποντας την ανάγκη διακομιδής σε τριτοβάθμιο νοσοκομείο.
Η διοικήτρια εξέφρασε δημόσια τα συγχαρητήριά της σε όλους τους εμπλεκόμενους, σημειώνοντας πως «συνεχίζουμε – όλοι μαζί μπορούμε».


















































